with high quality
All type of crown

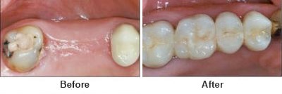
What is a crown?

A crown is a covering that encases the entire tooth surface. A crown protects and strengthens tooth structure. Although there are several types of crowns, porcelain are the most popular. They are made to match the shape, size, and colour of your teeth giving you a natural, long-lasting beautiful smile.
Teeth Crown
Teeth Crown

What is a Bridge?

A bridge fills (bridges) the gap left by the missing teeth, preventing the surrounding teeth from moving into the gap and becoming misaligned. A fixed bridge is a less invasive treatment than a dental implant. In cases where the surrounding teeth are strong enough to support the bridge, it is an excellent solution to maintain alignment and create a beautiful smile.
Teeth Bridge
Teeth Bridge